News

Pria Ini Hidup Hanya dengan Setengah Otak

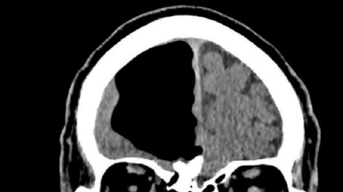
Ilustrasi.(sumber;internet)

JAKARTA - Pensiunan tentara Rusia tak menyangka saat tahu bahwa ada 'lubang hitam' di otaknya. Seharusnya, tempat itu terisi oleh otak kiri. Demikian dilaporkan Dailymail.co.uk.

Pria yang enggan disebutkan namanya ini diketahui tak pernah punya masalah kesehatan, sampai ia terserang 'stroke ringan'. Dokter di Moscow mengungkapkan, kondisi sang pria yang langka ini terbilang cukup unik.

"Terdapat kegagalan sirkulasi darah di otak. Hal ini berbeda dari stroke ketika bagian otak rusak permanen. Bagian otak dari si pensiunan yang seharusnya jadi lokasi stroke ringan, malah tidak ada sama sekali. Justru hanya terlihat lubang hitam di gambar komputer," ujar ahli saraf Dr Marina Anikina yang menginvestigasi kasus tersebut.

Bagian otak yang hilang bisa terjadi karena kegagalan berkembangnya otak saat janin masih dalam kandungan. Ketika separuh bagian otak rusak, bagian yang lain kemudian menggantikan semua fungsinya.

Belum diketahui apa yang mengisi lubang pada tempurung otak si pria. Kasus langka serupa disebut hydranencephaly, yakni tak ditemukannya jaringan padat otak dan terisi dengan cairan.

Sang pria pulih dengan cepat dari stroke ringannya, namun menolak untuk melakukan tes lanjutan pada otak.*



Loading...


[Ikuti IDNJurnal.com Melalui Sosial Media]






Tulis Komentar

Untuk Berbagi Berita / Informasi / Peristiwa
Silahkan SMS ke nomor HP : 0813-6567-1385
atau email ke alamat : [email protected] / [email protected]
Harap camtumkan detail data diri Anda
Pengutipan Berita dan Foto, Cantumkan IDNJurnal.com Sebagai Sumber Tanpa Penyingkatan
Loading...